概要
Advanced Cell Diagnostics社で開発されたRNAscope
TMはRNA in situ hybridization用の試薬キットで、独自のプローブ・増感法によってFFPE 組織切片・凍結組織切片・培養細胞サンプル中の mRNA をドット状のシグナルとして検出するテクノロジーです。組織上のRNAを高感度・特異的に検出することができ、世界中の研究者に使用されています。
本受託サービスでは、ご希望に合わせた試験系のデザイン、試薬の手配をコスモ・バイオ社が担当し、組織染色の専門家 株式会社モルフォテクノロジーがRNAscope
TM を用いて組織サンプルの染色を行います。
RNAscope
TMの詳細については
こちら
特長
- 15年以上免疫染色の受託に携わる組織染色のプロが染色を実施
- 短納期:染色結果の取得までが迅速
- 様々な組織に対応:FFPEや凍結組織等
- 安価な価格設定:コスモ・バイオ社が保有する試薬*を使用することで、安価に対応可能
*RNAscopeTM 2.5 HD Reagent Kit- BROWN, RED, RNAscopeTM Multiplex Fluorescent Reagent Kit v2
対応アッセイ
- RNAscope™ Single-plex(発色:Brown またはRed)(*1)
- RNAscope™ Multiplex v2 二重染色(蛍光:Red およびGreen)(*1)
- RNAscope™と免疫染色の共染色(各1ターゲットまで)(*1)
*1 試薬一式はコスモバイオ社で準備したものを使用します。
持ち込みではお受けしておりません(プローブのみ持ち込み可)。
その他のアッセイタイプについてはご相談ください。
染色例
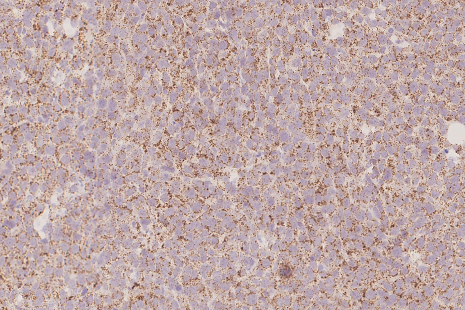
RNAscopeTM Single-plex 発色アッセイ(fig.1)
マウス腫瘍FFPE組織切片における染色
茶:マウスPpib mRNA 青:核(ヘマトキシリン染色)
RNAscopeTM Multiplex 蛍光アッセイ(fig.2)
マウス脳FFPE組織切片における蛍光2重染色
赤:マウスPpib mRNA 緑:マウスPolr2a mRNA 青:核(DAPI染色)
サンプル毎にターゲットプローブ、コントロールプローブ (Positive/Negative)を各1条件で染色する場合の金額です。検出系、染色枚数、染色ターゲット数に応じて金額は変更となります。
なお、カスタムターゲットプローブを利用する場合は、プローブデザイン費用 (¥95,000 / プローブ)を頂きます。また、切片サイズが 2 cm x 2 cm を超える場合や、Tissue Microarray を用いた染色の場合、追加費用が発生致します。
RNAscopeTM Single-plex (発色:Brown または Red)
 |
価格(税抜) |
| 1 / サンプル |
2 / サンプル |
3 / サンプル |
4 / サンプル |
5 / サンプル |
| ターゲットプローブ数 |
1 |
¥390,000 |
¥469,000 |
¥549,000 |
¥628,000 |
¥708,000 |
| 2 |
¥559,000 |
¥665,000 |
¥770,000 |
¥875,000 |
¥982,000 |
RNAscope™ Multiplex v2(蛍光:RedおよびGreenの2色で検出)
 |
価格(税抜) |
| 1 / サンプル |
2 / サンプル |
3 / サンプル |
4 / サンプル |
5 / サンプル |
| ターゲットプローブ数 |
2 |
¥698,000 |
¥840,000 |
¥981,000 |
¥1,124,000 |
¥1,265,000 |
*納期
既存ターゲットプローブの場合:ご注文後、約5~6週間
カスタムターゲットプローブの場合:ご注文後、約6~7週間