mRNAの局在確認にRNAscope®を用いたISH(In Situ Hybridyzation)解析のサービスをご提案いたします。

サービスについて

概要

mRNAやmiRNAの局在確認にRNAscope®を用いたISH(In Situ Hybridyzation)解析のサービスをご提案いたします。FFPEブロックからターゲット遺伝子の発現分布を病理標本上で確認することができ、コピー数の定量的な解析も可能です。(fig.1

特長

  • mRNAやmiRNAが検出できます
  • 明視野ではDABとFast Redを使用した単染色もしくは2重染色が可能で、蛍光では3重染色が可能です
  • 約20000のカタログプローブの中からターゲット遺伝子をお選びいただけます。それ以外のターゲット遺伝子の場合、合成の可否を確認の上ご提案いたします
  • 特徴的なZプローブを使用したシグナル増幅とバックグラウンドシグナルの抑制により1分子のRNAの検出が可能です
  • 自動免疫装置BOND RXを使用した、安定した染色が可能です
  • 画像解析を行い、ターゲット遺伝子のコピー数を求めることで定量的な解析が可能です
【このようなお客様にお勧めします】
  • RNAレベルの発現、局在解析に
  • 免疫染色ではうまく染まらず、代替法をご検討の方に
  • 画像解析による定量的な解析をご検討の方に

サービス基本仕様

  1. サンプル品質確認
  2. 画像撮影(*)
  3. 本染色
  4. 画像撮影(*)
  5. 画像解析(*)
* 発色:Aperio(ライカマイクロシステムズ)
  蛍光:共焦点イメージサイトメーターCQ1(横河電機株式会社)

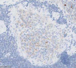
Halpを用いた解析例(fig.2)(fig.3

* ヒト扁桃組織 PPIB染色
出力データの例(fig.4
発現量に応じた5段階でのスコアリング

受け入れサンプル

  • ホルマリン固定組織
  • FFPEブロック
  • 培養細胞
  • セルブロック
  • 未染標本
* その他サンプル性状の場合はお問い合わせください。
サンプル準備~ご発送手順ページもご覧ください

基本納品物

  • 試験報告書
  • 染色標本
  • 画像データ(データディスク)
  • 画像解析データ(データディスク)

ご注文に関して

以下のファイルをご利用の上、お問い合わせフォーム からご送付ください。

専用注文書類

参考価格・納期

サービス項目 価格(税抜) 納期
mRNA-ISH お問い合わせ 試薬調達:2~4週間
条件検討:20営業日程度
染色:20営業日程度

関連サイト