概要
TissueArray.Com社 (略称:USB)が所有するヒトの各組織パラフィン包埋ブロックおよび組織切片です。ヒト組織は、インフォームドコンセントが取得されており、ウイルステスト(HHIV、HBV、HCV)陰性が証明されております。(
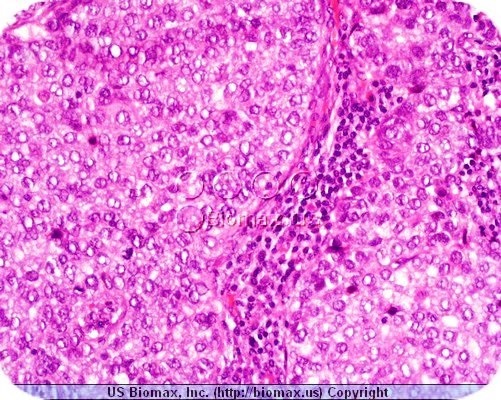
fig.1)(
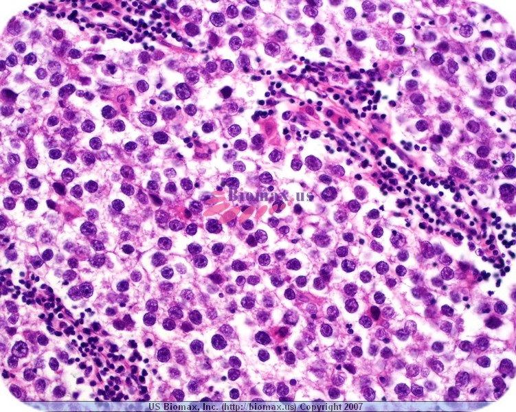
fig.2)
*その他の組織ブロック・動物臓器・血清 / 血漿などの
「生体試料製品」については、こちらをご覧下さい。
*多種類の正常組織または病理組織切片を1枚のスライドに集約した
「組織アレイ(Tissue array)」については、こちらをご覧下さい。
*
本製品は研究用です。研究用以外には使用できません。
特長
| |
組織ブロック |
パラフィン包埋切片 |
| 動物種 |
ヒト |
ヒト |
| 組織 |
正常組織、病理組織 |
正常組織、病理組織 |
| 固定・包埋 |
ホルマリン |
ホルマリン |
| 包埋 |
パラフィン包埋 |
パラフィン包埋 |
| 切片の厚さ |
- |
5μm |
| 容量 |
1 block |
1切片/1スライド |
| 製品イメージ |
- |
 |
このようなお客様にお勧めです
- 病理組織または正常組織がなかなか手に入らない
- 病理組織または特定の臓器で特異的に発現しているmRNAやタンパク質を検索したい
- ある腫瘍組織の分子標的(バイオマーカー)を探索したい
- 分子標的の候補を検証したい(再現性確認)
- 組織をIHC、ISHなどで解析したいが、組織切片を作製する時間や設備がない
ヒトのパラフィン包埋切片 / パラフィン包埋ブロックのラインナップ
- 神経系
- 骨格・筋肉系
- 脈管系
- 消化器系
- 呼吸器系
- 泌尿生殖器系
- 内分泌系
- 感覚器